Expert Periodontics Services
Comprehensive solutions for gum health, including treatments for gum disease and aesthetic enhancements.
Periodontics Services
At Kool Smiles Dental Clinic, our Periodontics department is dedicated to the prevention, diagnosis, and treatment of gum-related conditions. Our specialized services aim to maintain and restore the health of your gums and the supporting structures of your teeth.


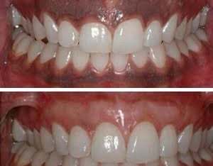
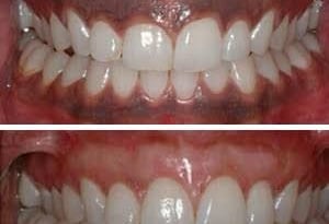
Gum Disease Treatment
Comprehensive care for various stages of gum disease, from gingivitis to advanced periodontitis, utilizing both non-surgical and surgical approaches to restore gum health.
Scaling & Root Planing
A deep-cleaning procedure that removes plaque and tartar from below the gum line and smooths the tooth roots to promote healing and reattachment of gums.


Gingivectomy
Surgical removal of diseased gum tissue to eliminate pockets between the teeth and gums, reducing bacterial growth and improving oral health.
Flap Surgery
A surgical procedure that lifts the gums to remove tartar deposits in deep pockets and then repositions them snugly around the teeth to reduce pocket depth.


Bone Grafts
Curettage
Scraping away the soft tissue lining of the periodontal pocket eliminates infected tissue and promotes healing.
Transplanting bone tissue to areas affected by bone loss due to gum disease provides a stable foundation for teeth or implants.


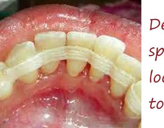
Splinting
Stabilizing loose teeth by bonding them together, distributing bite forces evenly, and preventing tooth movement.


Guided Tissue Regeneration (GTR)
A procedure that uses barrier membranes to direct the growth of new bone and gum tissue in areas where they have been destroyed by periodontal disease.
A minimally invasive laser treatment that targets and removes diseased gum tissue while promoting healthy tissue regeneration.
Laser-Assisted New Attachment Procedure (LANAP)


Gum Depigmentation
A cosmetic procedure to lighten or remove dark pigmentation on the gums, resulting in a more uniform and aesthetically pleasing appearance.






Ornamental Gum Surgery
Cosmetic procedures are designed to enhance the appearance of the gums, such as reshaping or contouring to achieve a balanced smile.
Papilla Reconstruction Procedure
Surgical techniques aimed at rebuilding the gum tissue between teeth (papilla) to fill in gaps and improve the overall aesthetics of the smile.
Your Trusted Periodontics Service Provider
We specialize in comprehensive periodontics services, focusing on gum health and disease prevention. Our expert team is dedicated to providing personalized care for all your periodontal needs.


Expert Care for Gums
Comprehensive Periodontal Solutions
Our services include gum disease treatment, scaling, root planing, and advanced procedures like LANAP and guided tissue regeneration, ensuring optimal oral health and beautiful smiles for our patients.
Contact Our Periodontics Team
Get in touch for expert periodontal services and personalized care tailored to your needs. We're here to help you maintain your gum health!
Contact
+91 74165 46546
040-27230406
Inquiry
santoshchalla@yahoo.com
Periodontics Services
Explore our comprehensive periodontics services for gum health, including treatments for gum disease and advanced surgical procedures.
Location
1st Floor, Jayabarathi meadows, Opp Anutex, Adjacent: Muthoot finance Suchitra 'X' Road, Hyderabad-500067.
Hours
Monday - Sunday : 10am - 9am
Kool Smiles Dental Clinic & Implant Centre
your trusted partner for exceptional dental care in Suchitra, Hyderabad. We specialize in various dental treatments, including preventive care, cosmetic dentistry, dental implants, and orthodontics, ensuring comprehensive care for the entire family.
Contact
Health
santoshchalla@yahoo.com
+91 74165 46546
040-27230406
© 2024.Kool Smiles Dental Clinic & Implant Center Powered By Digitize Tech And All rights reserved.
1st Floor, Jayabarathi Meadows, Opp Lenskart, Adjacent: Muthoot finance Suchitra 'X' Road, Hyderabad-500067.
