
Transform Your Smile
Explore our cosmetic dentistry services for a radiant, confident, and beautiful smile today.
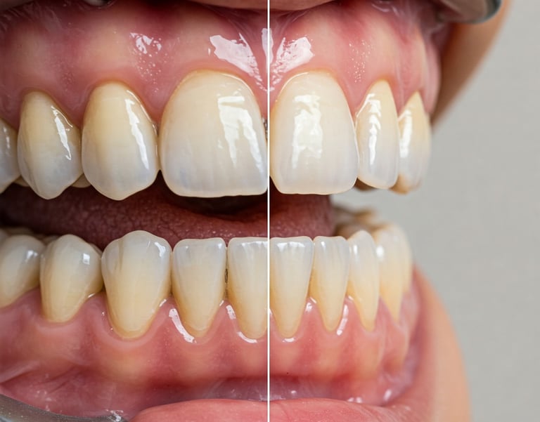
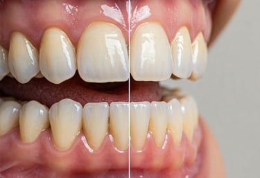
Cosmetic Dentistry Services
At Kool Smiles Dental Clinic, we offer a comprehensive range of Cosmetic Dentistry services designed to enhance the beauty and functionality of your smile. Our expert team utilizes advanced techniques and state-of-the-art technology to deliver personalized treatments tailored to your needs.


Smile Correction
Smile correction involves addressing misaligned, chipped, or uneven teeth to improve the overall appearance of your smile. Our dentists employ various methods, including orthodontics and bonding, to achieve harmonious results.
Smile Makeover
A comprehensive approach that combines multiple cosmetic procedures to transform your smile entirely. This may include veneers, crowns, whitening, and more, based on your specific goals.


Tooth Whitening
Professional tooth whitening treatments effectively remove stains and discoloration, resulting in a brighter, more radiant smile. We offer both in-office and take-home options to suit your lifestyle.
Dental Veneers / Laminates
Thin shells of porcelain or composite resin are bonded to the front surfaces of teeth to conceal imperfections such as chips, cracks, or gaps, providing a natural and aesthetically pleasing appearance.




Gum Depigmentation
Enamel Tooth Recontouring
Also known as enameloplasty, this procedure involves the subtle reshaping of tooth enamel to correct minor imperfections, enhancing the symmetry and balance of your smile.
A cosmetic procedure aimed at lightening or removing dark spots or patches on the gums, resulting in a more uniform and aesthetically pleasing gum appearance.


Gum Recontouring
This procedure reshapes the gum line to improve the proportions of your teeth and gums, often used to correct a "gummy" smile or uneven gum lines.
Minor Orthodontics
For patients requiring slight adjustments, minor orthodontic treatments, such as clear aligners, can effectively straighten teeth without the need for traditional braces.
In collaboration with specialized surgeons, we offer orthognathic (jaw) surgeries and other facial procedures to correct skeletal discrepancies, improving both function and facial aesthetics.
Orthognathic & Other Facial Surgeries




Contact Us
Reach out for inquiries about our cosmetic dentistry services and schedule your consultation today!
The smile makeover transformed my confidence and appearance. Highly recommend their exceptional cosmetic dentistry services!
Emily Smith
Tooth whitening was effective and painless. My teeth are now brighter than ever. Truly satisfied with results!
John Doe
★★★★★
★★★★★
Cosmetic Dentistry
Transform your smile with our expert cosmetic dentistry services tailored to enhance your confidence and appearance.
Location
1st Floor, Jayabarathi meadows, Opp Anutex, Adjacent: Muthoot finance Suchitra 'X' Road, Hyderabad-500067.
Hours
Monday - Sunday : 10am - 9am
Kool Smiles Dental Clinic & Implant Centre
your trusted partner for exceptional dental care in Suchitra, Hyderabad. We specialize in various dental treatments, including preventive care, cosmetic dentistry, dental implants, and orthodontics, ensuring comprehensive care for the entire family.
Contact
Health
santoshchalla@yahoo.com
+91 74165 46546
040-27230406
© 2024.Kool Smiles Dental Clinic & Implant Center Powered By Digitize Tech And All rights reserved.
1st Floor, Jayabarathi Meadows, Opp Lenskart, Adjacent: Muthoot finance Suchitra 'X' Road, Hyderabad-500067.
