Caring Pediatric Dentistry
Comprehensive services focusing on children's dental health for bright smiles and healthy futures.
Pediatric Dentistry Services
Comprehensive care for children's dental health and preventive treatments for lifelong smiles.


Importance of Milk Teeth
Learn why milk teeth are crucial for your child's dental development and health.
Preventive Dental Therapy
Our preventive therapies help maintain your child's oral health and prevent future issues.
Pediatric Dental Emergencies
Immediate care for dental emergencies to ensure your child's comfort and safety.
Dental Implants Services
At Kool Smiles Dental Clinic, our Pediatric Dentistry services are dedicated to ensuring the oral health and well-being of children from infancy through adolescence. We understand the unique dental needs of young patients and strive to create a friendly and comfortable environment for their care.


Importance of Milk Teeth
Milk teeth, or primary teeth, play a crucial role in a child's development. They aid in proper chewing and speech development and serve as placeholders for permanent teeth. Maintaining the health of milk teeth is essential to prevent future dental issues.
Preventive Dental Therapy
Preventive care is the cornerstone of pediatric dentistry. Regular dental check-ups, cleanings, and fluoride treatments help prevent tooth decay and gum disease, ensuring a healthy foundation for your child's oral health.


Conscious Sedation
For children who experience anxiety or have special needs, conscious sedation offers a safe and effective way to perform dental procedures comfortably. Our trained professionals ensure that sedation is administered with the utmost care.
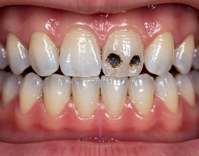
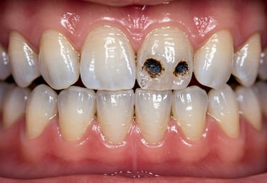
Early Childhood Caries
Early Childhood Caries (ECC) is a severe form of tooth decay in young children. We focus on educating parents and providing treatments to prevent and manage ECC, promoting long-term dental health.


Pediatric Dental Emergencies
Pit & Fissure Sealants
Sealants are thin, protective coatings applied to the chewing surfaces of molars to prevent cavities. They are especially beneficial for children, as they provide an extra layer of defense against tooth decay.
Accidents can happen, and our team is prepared to handle dental emergencies promptly. From toothaches to knocked-out teeth, we provide immediate care to address your child's urgent dental needs.


Anti-Decay Fluoride Application
Fluoride treatments strengthen tooth enamel, making it more resistant to decay. Regular fluoride applications are a key component of our preventive strategy to keep your child's teeth healthy.
Brushing Tips for Children
Proper brushing techniques are vital for maintaining oral hygiene. We educate children and parents on effective brushing methods, including the use of age-appropriate toothbrushes and toothpaste, to establish good habits early on.
Early assessment and intervention can guide proper jaw development and alignment. Our pediatric orthodontic services include evaluations and treatments to address issues such as crowding, spacing, and bite problems.
Pediatric Orthodontics
Pediatric Dentistry
Providing essential dental services for children's oral health and well-being, ensuring a positive experience for both kids and parents.
Location
1st Floor, Jayabarathi Meadows, Opp Lenskart, Adjacent: Muthoot finance Suchitra 'X' Road, Hyderabad-500067.
Hours
Monday - Sunday : 10am - 9am
Happy Parents
Our kids love visiting the dentist, and we appreciate the care!
The staff is friendly and knowledgeable about pediatric dental needs.
Sarah Johnson
Springfield
We are grateful for the preventive care and tips for our children’s dental health.
Mark Lee
Hometown
★★★★★
★★★★★
Kool Smiles Dental Clinic & Implant Centre
your trusted partner for exceptional dental care in Suchitra, Hyderabad. We specialize in various dental treatments, including preventive care, cosmetic dentistry, dental implants, and orthodontics, ensuring comprehensive care for the entire family.
Contact
Health
santoshchalla@yahoo.com
+91 74165 46546
040-27230406
© 2024.Kool Smiles Dental Clinic & Implant Center Powered By Digitize Tech And All rights reserved.
1st Floor, Jayabarathi Meadows, Opp Lenskart, Adjacent: Muthoot finance Suchitra 'X' Road, Hyderabad-500067.
